症例01
銀歯をセラミック歯に変え、金属アレルギーを予防。
| 症状・ご要望 | 前歯の裏や奥に“銀歯”を入れているが、見た目が気になってしまう。 |
|---|---|
| 治療内容 | 銀歯を取り除き、セラミッククラウンを被せました。表面もプラスチック製の歯から、透明度のある美しい仕上がりに。金属フリーにすることで体への負担も軽減できました。 |
| 治療期間 | 3週間 |
| かかった費用 | 88,000円(セラミッククラウン×1) |
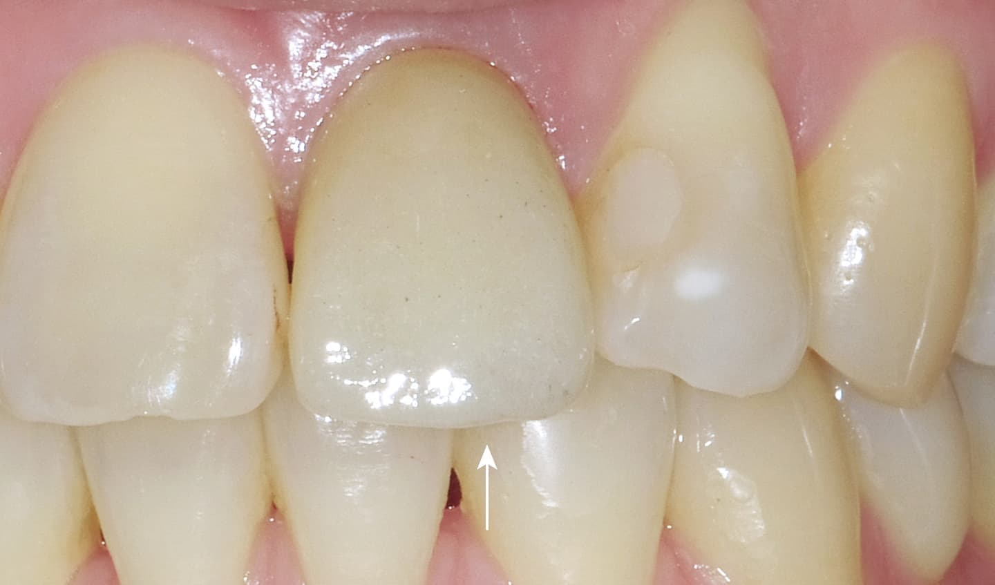
Before(前歯-表)
After(前歯-表)
Before(前歯-裏)
After(前歯-裏)
治療のリスク
※セラミックが欠けたり割れたりすることがあります。
※治療後に一時的に歯がしみる(知覚過敏)が生じることがあります。
※神経のある歯に装着する場合、術後に痛みや違和感が出ることがあります。
※咬み合わせやセラミックの形状によって違和感を感じることがあります。
※加齢や歯肉の退縮により歯とセラミックの境目が見えてくることがあります。
治療完了後、安心の2年保証付き
当院では保険外治療に2年保証を付けております。
素材自体が割れたり、その歯の根の再治療が必要になった場合は、2年以内であれば作り直します。
- ※セラミック素材に関わる治療が対象。
- ※歯が割れたり折れたり、歯周病が悪化したりと、素材とは関係の無い場合は保証適用外です。
※メンテナンスでしっかり通院されている患者様のみ適用されます。
クリニックのご紹介
J.FUKUDA DENTAL CLINICは、室蘭市内にあるクリニックです。
セラミック治療のご相談や、治療内容に関するご質問まで、お気軽にお問い合わせください。
セラミック治療のご相談や、治療内容に関するご質問まで、お気軽にお問い合わせください。
室蘭エリア
J.FUKUDA DENTAL CLINIC
〒050-0074
北海道室蘭市中島町1-31-10
JR東室蘭駅より徒歩15分、駐車場10台分有
| 診療時間 | 月 | 火 | 水 | 木 | 金 | 土 | 日 |
| 9:30-12:30 | ○ | ○ | ○ | ○ | ○ | 休 | 休 |
| 13:30-18:00 | ○ | ○ | ○ | ○ | ○ | 休 | 休 |
※最終受付 17:30
休診日:土曜日、日曜日、祝祭日